У батьків зустрічається таке поширене оману, що молочні зуби немає сенсу лікувати і тим більше виправляти прикус — все одно скоро зміняться на постійні. Ця помилка призводить до погіршення стану зубів у дитини, і цілком можливо, що ці проблеми потім доводиться вирішувати і в дорослому віці. Насправді молочний прикус – це не просто тимчасовий стан щелеп. Це частина важливого процесу по формуванню майбутнього здоров’я порожнини рота, і бажано розібратися у всіх особливостях і тонкощі процесу.

Особливості молочного прикусу
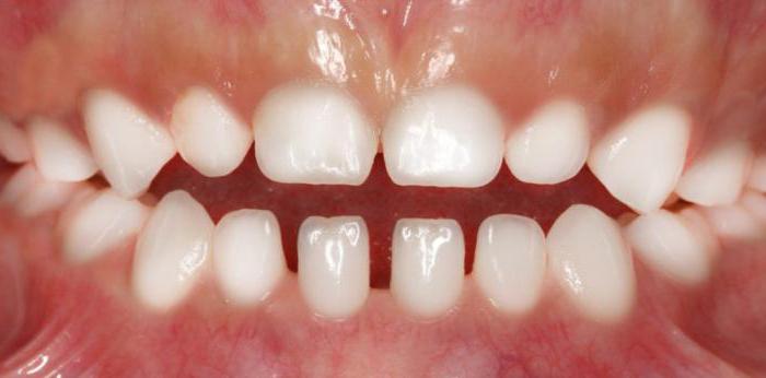
Найпомітніша відмінність молочного прикусу від постійного полягає в кількості і якості зубів. Оскільки у дитини щелепи ще не виросли, то і зубів на них поміщається куди меншу кількість, всього двадцять. Молочні зуби більш м’які, на них швидко з’являються ознаки стертості, помітніше межа між зубом і яснами. Дитячі зуби також відрізняються за кольором емалі, вона синювато-біла.
Молочний прикус ділиться на дві умовні категорії — формується і сформований. Обидві стадії важливі для правильної закладки постійного прикусу та природного порядку прорізування постійних зубів згодом.

Формується молочний прикус
Закладка зубів у дитини відбувається ще під час внутрішньоутробного розвитку, а прорізуються перші зубки вже в пятимесячном віці. Як правило, це два центральних нижніх різця. У процесі формування молочний прикус зазвичай не вгадується, зуби прорізуються поступово і симетрично: однойменні зубів на одній щелепі прорізуються синхронно з обох сторін. Наприклад, лівий і правий ікла на верхній щелепі з’являються майже одночасно.
Ще на стадії формування молочного прикусу можна визначити, чи правильно він розвивається. Якщо два роки, коли формується прикус вже завершується, показати малюка ортодонта, можна на ранній стадії визначити наявність проблем і прийняти відповідні заходи.

Сформований прикус молочних зубів
Коли всі молочні зуби вже прорізалися, йде мова про вже сформовану молочному прикусі. І якщо з ним є проблеми, то на цій стадії вони помітні навіть неспеціалісту, адже прорізалися вже всі молочні зуби. Неправильний прикус у цьому віці найчастіше називається «відкритий» — нижні зубки не заходять через передні, і створюється враження, що щелепи просто не змикаються.
Відкритий прикус призводить до того, що молочні зуби швидше зношуються, стираються, в рази підвищується ризик розвитку карієсу і, крім перерахованого вище, порушується механізм закладки постійного прикусу. Причини можуть бути різними — від вроджених особливостей до набутих проблем. Наприклад, занадто довге використання соски-пустушки або звичка смоктати палець можуть призвести до формування відкритого прикусу.

Потрібно лікувати молочні зуби?
Лікування молочних зубів необхідно, щоб не порушити порядок появи постійних зубів. Тому візити до стоматолога обов’язкові, буквально починаючи з дворічного віку. Це корисно не тільки тому, що лікар вчасно помітить проблеми з прикусом, але і допоможе сформувати спокійне ставлення дитини до стоматолога.
На даний момент існують сучасні щадні способи лікування молочних зубів, таким же м’яким способом можна виправити молочний прикус у дітей. Наприклад, карієс у малюків не лікують в прямому сенсі слова, а консервують методом сріблення, не допускаючи подальшого руйнування зуба. Прикус набагато легше виправити на стадії закладки порушень, ніж у більш зрілому віці, коли проблема вже сформувалася і доводиться її усувати.

Виправлення молочного прикусу
Помічені на стадії формування похибки прикусу можна виправити порівняно легко, для цього не потрібні складні брекет-системи, досить усунути причину проблеми і просто дозволити зубкам розвиватися так, як належить. Замість брекетів для цього застосовуються м’які вестибулярні пластини, вони направляють ростуть зубки і допомагають швидко усунути порушення в зародку.
Проблема з молочним прикусом полягає в тому, що через неправильне змикання зубів можливе передчасне стирання і розтріскування м’якої зубної емалі. Молочні зубки і без того не відрізняються підвищеною міцністю і приблизно до того моменту, як починають змінюватися постійними, вже досить стерті. З-за неправильного прикусу ця стертість різко збільшується, що може сприяти швидкому розвитку карієсу і передчасного випадання молочних зубів.
У перспективі виправлення прикусу молочних зубів благотворно впливає на постійний прикус. Правильно сформовані щелепи будуть рости так само, і з високим ступенем імовірності після зміни зубів постійний прикус буде нормальним, або ж проблеми буде простіше вирішити.
Залежність постійного прикусу від молочного
Зачатки постійних зубів формуються під молочними ще в ранньому дитинстві, тому будь-яка проблема в дитинстві неминуче позначається на подальшому розвитку. Саме тому вкрай бажано оберегти молочні зуби від руйнування в результаті карієсу, від викривлення або неправильне розташування.
Якщо молочний зуб доводиться видаляти завчасно, то це провокує постійний зуб прорізуватися і рости. Порушується черговість, з-за цього можливо викривлення зубного ряду. Оскільки постійні зуби крупніше, ніж молочні, для ще не виросла дитячої щелепи шкідлива рання зміна молочного прикусу на постійний. При нестачі місця для росту зуби можуть рости з поворотом або під кутом.

Особливості постійного прикусу
Процес формування постійного прикусу починається задовго до того, як випаде перший молочний зуб. У нормі молочні зуби починають випадати саме з-за того, що їх виштовхують зростаючі постійні. Однак, якщо у дитини є стоматологічні проблеми, з-за яких руйнуються молочні зуби, цей порядок порушується. Таким чином, турбота про молочних зубах – це насправді турбота про постійних зубах, з якими людині належить прожити все життя. Оскільки молочний і постійний прикус тісно пов’язані, перший візит до стоматолога бажано призначити на вік формування ряду молочних зубів.
Виправляти постійний прикус набагато складніше, ніж скорегувати молочний. Це обумовлено тим, що у постійних зубів глибокі і міцні ґрунтовні коріння, система прикусу вже усталилася у своїй неправильної форми.

Виправлення прикусу
Для виправлення постійного прикусу використовуються сучасні брекет-системи. Це досить складне винахід, що дозволяє вирівняти зубний ряд, але потрібен час. У середньому брекет-систему носять приблизно двадцять місяців, якщо ситуація складна, то і довше. Особливість даного виду ортодонтичного лікування полягає в тому, що після установки брекетів необхідно носити їх до переможного кінця – якщо перервати лікування раніше терміну, зуби просто повернуться в початкове положення. В особливо складних аномальних випадках ортодонти застосовують видалення «зайвих» зубів, щоб дати іншим можливість зайняти природне положення.
В дитинстві замість брекетів застосовується вестибулярна пластинка для молочного прикусу, але навіть якщо після неї виявляються проблеми, які потребують ортодонтичного лікування, то це відбувається набагато швидше. Стоматологи рекомендують встановлювати брекет-систему в середньому шкільному віці, коли зуби ще знаходяться в податливому для корекції стані. На даний момент існує кілька типів систем, що дозволяють цілком комфортно і естетично виправити прикус. Практично непомітні прозорі брекети або з можливістю підібрати накладки під колір емалі зубів, або навіть система, яка кріпиться з внутрішньої сторони, що абсолютно непомітно для інших людей.
Приділяючи увагу правильному розвитку молочних зубів у дитини, ви закладаєте передумови для максимального зменшення проблем у майбутньому.






