УЗД, або ехографія, являє собою дослідження внутрішніх органів за допомогою звукових хвиль. Хвилі, відбиваючись від внутрішніх органів, записуються з допомогою спеціальних інструментів і створюють зображення анатомічних деталей. В цьому випадку не використовується іонізуюче випромінювання (рентген). Нормальні розміри матки по УЗД у дорослих служать показником здоров’я сечостатевої системи у жінок.

Для жінок таке дослідження найбільш часто використовується, щоб обстежити матку і яєчники до, після і під час вагітності, щоб контролювати стан здоров’я органів, розвиток ембріона або плода. Ультразвукові зображення захоплюються в режимі реального часу, так що вони можуть показати руху внутрішніх тканин в органах, таких як струм крові в артеріях і венах. Норми розмірів матки по УЗД розроблені та розраховані для будь-якого стану жінки.

Матка, її розміри

Матка розташована в малому тазі. Хоча це зазвичай серединна структура, бічне відхилення матки не рідкість. Широкі зв’язки матки розширюються від боків в стінку таза. Вони містять маткові труби і судини.

Норми розмірів матки по УЗД приблизно такі. Нормальна доросла матка має розміри від 7,0 до 9,0 см (довжина), від 4,5 до 6,0 см (ширина) і від 2,5 до 3,5 см (глибина). Останній показник називають ще передньо-задній розмір.

Протягом постменопаузи матка зменшується в розмірах, і ендометрій атрофується. Розроблені і доведені нормальні розміри матки і яєчників по УЗД.

Норми розмірів матки по УЗД

Коли яєчники піддаються інволюції, відбувається пов’язане з цим зменшення продукції естрогену. Це призводить до поступової атрофії та інволюції ендометрія. У постменопаузі середня товщина ендометрію відзначена як 3,2 +/- 0,5 мм.

Дослідження звичайно виявляють зворотну залежність між розміром матки і часом після менопаузи: розміри матки та обсяг поступово зменшуються. Найбільші зміни відбуваються протягом перших десяти років після менопаузи, а потім поступово.

У постменопаузі норми розмірів матки по УЗД: 8,0 +/- 1,3 см в довжину, 5,0 +/- 0,8 см в ширину і 3,2 +/- 0,6 см в глибину (передньо-задній розмір).

Якщо немає менструального циклу, наступні зміни в кровопостачанні матки, як правило, не визначаються. Якщо пацієнтка знаходиться на замісної гормональної терапії, то розміри матки, ендометрія та циклічні зміни можуть залишитися. Навіть розміри матки наближаються до показників пременопаузального стану.

Загалом, терапія естрогенами впливає на постменопаузальний ендометрій аналогічно естрогенів в нормальний цикл. Сполучені естрогени надають проліферативний ефект. Гестагенная терапія може призвести до того, що ендометрій почне реагувати так, як і нормальний секреторний ендометрій.

А при використанні разом з екзогенними естрогенами синтетичні прогестагени відтворюють характерні біохімічні і морфологічні зміни в секреторній фазі нормального менструального циклу.Змінюється і кровоносну струм до матки на тлі прийому замісної гормональної терапії. Товщина ендометрію збільшується майже в два рази. Наприклад, до лікування середня товщина була 0,37 +/- 0,08 див. Після лікування значення стали 0,68 +/- 0,13 див.

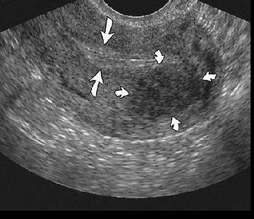
При дослідженні жінок в постменопаузі одним з найбільш важливих застосувань ультразвуку є діагностика і лікування раку ендометрію. Подібні дослідження дозволяють визначити нормальні розміри матки і яєчників по УЗД. І в цілому, внутрівагінальное УЗД перевершує можливості трансабдомінального для візуалізації міометрію та ендометрію.

М-ехо. Що це

При проведенні дослідження вимірюють не тільки розміри матки. По УЗД норма М-ехо – теж важливий показник. Він відображає розвиток, стан ендометрію і готовність його до прийому заплідненої яйцеклітини. Вимірюється він у різні фази циклу і має певні межі.

Під час менструації ендометрій з’являється як тонка эхогенная смужка 1-4 мм завтовшки, однак коливається від 4 до 8 мм в проліферативній фазі. В секреторній фазі після овуляції залози ендометрію стимулюються, і ендометрій з’являється як більш однорідна эхогенная смуга завтовшки від 8 до 15 мм.

Показник норми

Продовжуємо розглядати такий важливий показник, як розміри матки по УЗД. Яка норма М-ехо?

Товщина внутрішньої оболонки 5 мм або менше є досить звичайною у жінок в постменопаузі і надійно виключає злоякісність у жінок. Однак товщина ендометрію до 8 мм може бути виявлена у жінок в постменопаузі, які отримували гормонотерапію. Варто врахувати подальші діагностичні дослідження у жінок в постменопаузі з товщиною ендометрія більше 8 мм, щоб виключити рак ендометрія.

Виключаємо рак

Эхографические ознаки раку ендометрію в постменопаузі включають в себе:

  • заповнений рідиною канал;
  • потовщену маткову порожнину;
  • збільшену матку;
  • ураження матки з зміною ехо-картини.

Навіть УЗД вже точно показує наявність і ступінь інвазії міометрія. Ці дослідження показали, що найбільш точна передопераційна діагностика може дозволити право вибору терапії, що, можливо, призведе до поліпшення результатів.

Якщо товщина ендометрію 8 мм або менше у пацієнтів з постклимактерическими кровотечами, то правильно поставити діагноз “рак ендометрія” можна шляхом вискоблювання. Тому при товщині ендометрію в постменопаузі 10 мм і більше слід проводити подальше обстеження з допомогою біопсії або вискоблювання, щоб виключити злоякісний характер або гіперплазію.Деякі дослідники продемонстрували корисність ультразвукової допплерографії в діагностиці раку ендометрію. Дослідники пояснили збільшення кровотоку в матковій артерії підозрою на пухлину у хворих зі злоякісними захворюваннями: ненормальний кровотік може бути виявлений практично у всіх випадках карциноми ендометрія, а також саркоми матки. З кольоровим доплером, аномальні знахідки включають наявність нерегулярних, тонких і хаотично розподілених судин і патологічної швидкості потоку сигналу.

Для чого вимірюють шийку матки

Кожна вагітна жінка схильна до ризику передчасних пологів, але більшість думають, що це ніколи не трапиться з ними. Коли вони стикаються з цим, то згадують про профілактику і додаткових дослідженнях. Самим доступним і нешкідливим дослідженням є УЗД, при якому лікар може поставити діагноз загрозливих передчасних пологів.

Численні дослідження показали, що УЗД-показник шийки матки приблизно з 20 до 24 тижнів вагітності – це сильний індикатор передчасних пологів. Довжину шийки матки найбільш точно можна виміряти з допомогою трансвагінального УЗД. Якщо жінка не вагітна, то розміри шийки матки по УЗД (норма) становлять близько 4 див.

Що таке вкорочення шийки матки?

Доведено, що протягом 24 тижнів гестації середній розмір шийки матки – 3,5 див. Якщо цей показник менше 2,2 см, жінки стикаються з 20-відсотковою ймовірністю передчасних пологів. А при довжині 1,5 см або менше ризик спонтанних передчасних пологів становить майже 50 відсотків. Довжина, як очікується, зменшується, так як вагітність прогресує.

Розміри шийки матки по УЗД (норма):

  • у 16-20 тижнів – 4,0-4,5 см;
  • у 24-28 тижнів дорівнює 3,5-4,0 см
  • в 32-36 тижнів – 3,0-3,5 див.

Більшість лікарів призначить жінці трансабдомінальне УЗД на терміні близько 20 тижнів. Якщо довжина становить менше 4 см, роблять трансвагінальне УЗД, щоб отримати більш точне вимірювання.

Коротка шийка матки між 20 і 24 тижнями – небезпечний симптом.

За допомогою трансвагінального УЗД можна побачити як зверху, так і знизу шийку матки. У цьому випадку вона виглядає як воронка. Широка частина воронки знаходиться найближче до тіла матки, а найвужча частина розташована в напрямку до піхви. Коли шийка матки скорочується ще більше, це буде виглядати як “V” на УЗД.

У нормі шийка матки має форму трубки. Більше ніж у 50 відсотків вагітних при патології цього органу виникають передчасні пологи.

Розміри матки по УЗД

Норма при вагітності залежить від терміну гестації. Програма розрахунку термінів вагітності закладена в сонографах за даними вимірювання розмірів окремих органів плоду і матки.

Якщо застосувати порівняння з фруктами, то розміри матки по УЗД (норма в мм) будуть наступними.

1. До вагітності матка розміром приблизно з апельсин і не визначається.

2. На термін близько 12 тижнів вагітності матка стає розміром з грейпфрут. Якщо виношуються близнюки, матка почне рости швидше. 3. У 13-26 тижнів матка збільшується до розмірів папайї. Дно матки розташовується з часом від лона до пупка.

4. Починаючи з 18-20 тижнів лікар буде вимірювати відстань від лобкової кістки до дна матки. Це висота стояння дна матки. Розмір зазвичай відповідає тижні вагітності.

Якщо розміри матки збігається з терміном вагітності, то це ознака того, що все йде добре. Якщо показник занадто великий або занадто маленький, це може означати якесь ускладнення вагітності. Може знадобитися додаткове тестування. Лікарю необхідно знати розміри матки по УЗД. Норма при вагітності цього показника означає, що все проходить, як потрібно.

5. Під час третього триместру матка закінчує зростання і стає розміром з кавун. Коли настає строк пологів, матка знаходиться на рівні нижньої частини грудної клітки, а перед пологами повинна опуститися нижче, у таз.

Післяпологовий період

Які розміри матки після пологів? Норма по УЗД відповідає термінам вагітності. Приблизно через день або два після пологів матка буде розміром приблизно 18 тижнів і зменшуватись протягом наступних днів. Якщо загоєння йде за планом, то через тиждень матка буде розміром 12-тижневого терміну вагітності, а на шостому тижні вона повинна повернутися до свого нормального розміру.

Яєчники

Яєчники зазвичай розташовані по обидва боки матки, хоча при обстеженні визначення їх в місцях вище або позаду матки – не рідкість. Яєчник найчастіше розташовується спереду від біфуркації судин на передню і задню гілки. Для успішної візуалізації яєчників необхідний хороший доступ.Протягом постменопаузи яєчники зазнають зміни, характеризуються зменшенням в розмірах і відсутності фолликулогенеза. По суті, надійну ідентифікацію яєчника у багатьох випадках можна зробити шляхом демонстрації кісти яєчника, коли фолікул оточений паренхімою. Іноді доводиться вдаватися до сканування вздовж траси внутрішніх клубових судин, щоб виявити його місце розташування.

Зазвичай виявляють зворотну залежність між розміром яєчників і часом, що пройшов з моменту менопаузи: розмір яєчників прогресивно знижується з плином часу. Проте у пацієнтів, які отримували гормонотерапію, можна побачити відсутність змін об’єму яєчників.

Зміни розмірів

У нормі після менопаузи у жінок розміри яєчників складають 1,3 +/- 0,5 см3. В менопаузі немає менструального циклу, тому зміни в кровопостачанні яєчника, як правило, не видно при дослідженні в нормальному постклімактеричному періоді.

Ці циклічні зміни, однак, можуть бути очевидні, якщо пацієнтка замісної гормональної терапії. Насправді, візерунок кровотоку пременопаузального яєчника в постменопаузі повинен орієнтувати лікаря на пошук історії замісної гормональної терапії або онкологічних змін. УЗД і допплер можуть надати істотну допомогу в диференціації доброякісних та злоякісних процесів.Виконання допплерографії придатків матки для повинно бути здійснено:

  • між 3-10 днями менструального циклу;
  • між 3-10 днями в постменопаузі, якщо жінка замісної гормональної терапії;
  • у будь-який час в постменопаузі без лікування.

Таким чином, не тільки при вагітності важливо знати розміри матки по УЗД. Норма цього показника, а також розміру яєчників, – важливий ознака здоров’я жінки в будь-який період.

Використання методу у невагітних жінок

Є багато причин для проведення УЗД, в тому числі:

  • патологія будови тазу;
  • незрозумілі вагінальні кровотечі;
  • тазовий біль;
  • підозра на позаматкову вагітність;
  • безпліддя;
  • перевірка наявності кісти або міоми матки;
  • перевірка коректного розміщення ВМС.

Норми розмірів матки по УЗД залежать від того, скільки років жінці, скільки у неї було вагітностей і пологів, як протікає менструальна функція і т. д. Тепер розглянемо різницю показників за віком.

Розміри дорослої матки

Які нормальні розміри матки по УЗД у дорослих? Близько 7 сантиметрів завдовжки і 4 см шириною і товщиною, плюс-мінус пара сантиметрів. Такі дані мнолетних досліджень.

Ці показники – норма розмірів матки по УЗД у дорослих. Як правило, відзначається збільшення розмірів, якщо жінка мала пологи. Міома може зробити ці вимірювання дуже великими, втім, як і аденоміоз.

Яєчники зазвичай за розмірами від 2 до 3 сантиметрів. Звичайно, обсяги збільшуються, якщо є великий фолікул або кіста.

Розміри до статевого дозрівання

Якими в цьому випадку розміри матки по УЗД? Норма в препубертатному періоді (до статевого дозрівання) становить близько 3,5 см в довжину, а товщина в середньому 1 див. Гормональна стимуляція, яка відбувається в період статевого дозрівання, що приводить до стрімкого зростання і змін в розмірах матки.

Розміри після статевого дозрівання

Нормальна довжина в цьому періоді становить близько 7,6 см, ширина — 4,5 див. Середня нормальна товщина — 3,0 див.

Таким чином, нормальні розміри матки по УЗД у підлітків при нормальному менструальному циклі лише трохи відрізняються від розмірів матки дорослої жінки.

Після менопаузи матка, як правило, зменшується в розмірах, а яєчники можуть у підсумку виявитися не більше ніж залишками тканини. Це так, оскільки нормальні розміри матки і яєчників по УЗД при менопаузі значно зменшені.

Висновок

Так які ж середні показники?

Прийнято вважати, що розміри матки по УЗД (норма в мм) у жінок:

  • довжина — близько 70;
  • ширина — ближче до 55;
  • передньо-задній розмір — 40 мм.

Великі розміри не завжди вважається патологією. Але в цьому випадку необхідно провести дослідження, щоб виключити фіброміому, аденоміоз, вади розвитку, вагітність.

НАПИСАТИ ВІДПОВІДЬ

Please enter your comment!
Please enter your name here