Красива і здорова усмішка здатна відкрити багато дверей та надати впевненість людині. Якщо хочете без операційного втручання і дорогих процедур отримати рівні зуби, зверніть увагу на ортодонтичний трейнер. Що це за пристрій і як його використовувати, ви дізнаєтеся нижче.
Що таке трейнер
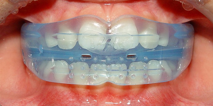
Однією з найпоширеніших проблем, з якими пацієнти звертаються до стоматолога, є неправильний прикус. Якщо раніше доводилося усувати такий недолік тривалий час – носити брекети, – то зараз все стало набагато простіше. Трейнери для зубів являють собою м’яке і еластичне пристосування, яке легко приймає форму щелепи. З їх допомогою вдається вирішити безліч проблем. Стоматологічне пристосування одночасно:
- усуває неправильний прикус;
- знімає тиск на щелепи;
- усунуть скрученность зубів;
- прибирає звичку смоктати палець або мова;
- тренує круговий м’яз рота;
- нормалізує носове дихання.
Залежно від характеру проблеми призначають різні види установки:
- Трейнер для брекетів. Використовується для отримання більш ефективного результату, завдяки чому скорочується процес лікування. Крім того, установка запобігає пошкодження м’яких тканин у роті.
- Преортодонтичний трейнер. Апарат призначається маленьким дітям для вирівнювання дитячого прикусу.
- Суглобовий трейнер. Призначається при порушеннях роботи скронево-нижньощелепного суглоба. Допомагає усунути больові відчуття і напруга.
- Фінішний трейнер. Є завершальним етапом ортодонтичної терапії. Конструкція встановлюється для закріплення результату.
- Трейнер для дорослих. Призначається хворим при наявності неправильного прикусу у зрілому віці, допомагає прибрати хропіння, відновити дихання носом. Відрізняється більш твердим матеріалом конструкції.

Навіщо потрібен трейнер для дорослих
М’яка накладка здатна вирішити цілий ряд проблем, які пов’язані з роботою щелеп, а також усунути основні причини їх утворення. В залежності від порушення стоматологом буде призначений той чи інший вид трейнера для зубів. До основних показань для використання апарату дорослими відносять:
- неможливість використання брекетів;
- неправильний або занадто глибокий прикус;
- зміщення зубів на передній частині нижньої щелепи;
- проблеми з вимовою;
- неправильне ковтання;
- такі шкідливі звички, як смоктання мови, ручки або пальця;
- людина не може дихати носом, а використовує рот.
Трейнер для виправлення прикусу
?Порушення формування прикусу може початися ще в дитинстві. Невірне положення соски, палець у роті – все це основні причини проблеми. Крім того, негативний вплив здійснюється в результаті неправильного ковтання, дихання ротом. Якщо не усунути ці шкідливі звички, то в майбутньому маля може заробити скрученность зубів, порушення розташування щелеп. Використання преортодонтичного апарату усуне проблеми на ранніх стадіях.
Пристосування можна починати використовувати в період прорізування зубів. Особлива конструкція допоможе встановити правильне положення губ, язика, що дуже важливо для нормального дихання і ковтання. Для початку краще використовувати м’яку пластинку, потім – більш жорсткий трейнер. Першу систему дозволяється носити з півроку. Для досягнення результату рекомендується надягати пристосування на ясна мінімум на 1 годину в добу. Регулярне застосування поліуретанового апарату усуне дефект в роті дитини.

Кому протипоказаний силіконовий трейнер для зубів
Рекомендується використовувати трейнери для зубів не тільки тоді, коли у людини складна проблема, вирішити яку без механічного втручання неможливо. Наприклад, перехресний прикус зубів у бічних ділянках можна усунути тільки за допомогою тривалого лікування. Основними протипоказаннями до використання пристрою є закладеність носа та серйозні психологічні проблеми хворого.
Де купити і скільки коштує
Придбати відновлюючий трейнер можна у ортодонта, який призначає вам лікування, спеціалізованих аптечних пунктах або інтернеті. Ціна такого тренажера доступна, залежить від фірми виробника і виду вироби для вирівнювання прикусу. За якісний апарат доведеться віддати від 2400 до 8000 рублів. Хоча установка і не дуже дешева, вона коштує своїх грошей. Пристрій дає відчутний результат за короткий проміжок часу.
Відео
Відгуки
Олена, 23 роки
У мене ще в дитинстві один зуб під час росту почав залазити на інший, упирався практично в небо. Усмішку це дуже псувало, і я його видалила. Після цього для вирівнювання ряду купила трейнер. Носити його не дуже зручно, так як підвищується виділення слини, але зате дуже ефективно. За 3 місяці зуби стали на місце! Шкода, що я раніше не знала про це.
Тетяна, 32 роки
У дитини сильне викривлення зубів верхньої щелепи. Хотіли взяти брекети, нам порахували – близько 30000 рублів, тому зважилися на трейнер. Пристосування нагадує капу для боксерів. Для малюків є можливість вибрати рожевий або блакитний кольори. Змушую сина надягати на ніч. Носимо місяць, поки явних змін немає, але зубки явно поболюють.
Юлія, 28 років
Придбали трейнер за порадою стоматолога. Робили пристосування спеціально під зуби моєї дитини, тому вийшло недешево. За апарат довелося віддати 6000 рублів, однак, якщо порівняти з брекетами, то це копійки. Дитина носить тренажер вдень і одягає на ніч, хоча це дуже незручно. Усунення дефекту стало помітно вже через 2 місяці.





