Гамартома легкого представляє особливу дизэмбриональное утворення, що складається переважно з компонентів бронхіальної стінки і легеневої паренхіми. Вперше аномалія була описана в 1904 році.
Загальні відомості
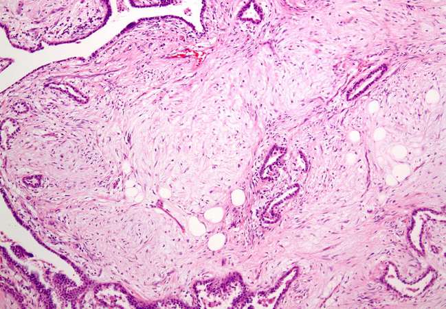
Під гамартомой розуміється доброякісна пухлина легені, яка містить хрящові, судинні та фіброзні структури. Патологія зазвичай локалізується в товщі легеневої паренхіми, з-за своїх невеликих розмірів практично не робить впливу на функціонування органів.
Гамартома являє собою одиночне округле утворення щільної консистенції, розмір якої варіюється від 0,5 до 5 див. Аномалія, як правило, не відрізняється схильністю до прогресуючого зростання, однак у медичній практиці відомі випадки визначення тенденції до поступового збільшення патології в діаметрі. Серед усіх пухлин легенів доброякісної природи гамартому виявляють найчастіше (60% випадків). Захворювання здебільшого діагностується в осіб чоловічої статі.
Етіологія
Гамартома легкого розвивається внаслідок порушення розвитку плоду ще в ембріональному періоді. До її складу входять різного роду елементи зародкових тканин, а також схожі за природою компоненти того органу, в якому вона безпосередньо знаходиться. Це і є основна відмінність гамартомы від тератоми. Остання, як правило, складається з тканинних зачатків і елементів, чужорідних для органу, в якому вона локалізується.
Класифікація
Всього існує кілька класифікацій даної патології. По переважанню тканини доброякісна пухлина легені буває:
- Липоматозная.
- Органоидная.
- Хондроматозная.
- Ангиоматозная.
- Лейомиоматозная.
В залежності від кількості пухлин розрізняють одиничні і множинні варіанти патології. За локалізацією виділяють ендобронхіальние, субплевральные і внутрилегочные освіти.
Клінічна картина
Гамартома легкого протягом тривалого часу може не проявлятися характерною симптоматикою. Прогресуюче субплевральное освіта зазвичай супроводжується больовим дискомфортом в області грудної клітини. Якщо гамартома формується із стінки бронха, у міру її розвитку може порушитися прохідність бронхів. В такому випадку хворі скаржаться на сильний кашель із виділенням слизисто-гнійної мокроти, в рідкісних випадках виникає кровохаркання.
Постановка діагнозу
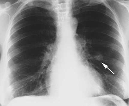
Із-за того що патологія переважно протікає безсимптомно, виявити її вдалося тільки під час профілактичного огляду. Для отримання більш детальної клінічної картини лікар призначає рентгенологічне дослідження, при якому виявляються тіні округлої форми різних розмірів з рівними або хвилястими контурами. Зазвичай на рентгенограмах визначають вапняні включення. Їх кількість обумовлена інтенсивністю тіні. Якщо проводити тривале динамічне дослідження, можна помітити, що у розмірах гамартома легкого змінюється дуже повільно. З іншого боку, інтенсивність вапняних відкладень швидко прогресує.
Освіти ендобронхіальной природи виявляються прямими та непрямими ознаками. У першому випадку мова йде про сферичної пухлини з рівними і чіткими краями, що виявляються за допомогою рентгенологічного дослідження. Непрямі прояви — це ателектаз, гіповентиляція і інші ознаки, що вказують на порушення бронхіальної провідності.
Особлива роль відводиться диференціальній діагностиці. Вкрай важливо не сплутати цю патологію з периферичним раком легені або туберкулемой.
Яким має бути лікування?
На консультації лікар повинен у першу чергу розповісти, що являє собою гамартома легкого, причини патології та призначити відповідне лікування. Медикаментозне лікування, на жаль, у боротьбі з цією проблемою виявляється неефективно. Лікарські препарати приймають тільки для зменшення симптоматики.
Всім пацієнтам без винятку рекомендується хірургічне втручання. Якщо лікар підтвердив діагноз «гамартома легкого», операція вважається безумовною заходом. При підозрі на іншу патологію (наприклад, периферичний рак) необхідно віддати перевагу торакотомії.
Гамартому видаляють шляхом резекції або вилущування легеневої тканини. Операція проводиться із застосуванням відеоторакоскопічною методики, яка дозволяє уникнути травматичних розрізів. При відносних протипоказань до цього виду втручання допустимо динамічне спостереження за пацієнтом протягом декількох місяців. По закінченні цього періоду питання про проведення операції вирішується виходячи з наявності або відсутності збільшення тіні на рентгенограмі.
Дещо іншого підходу вимагає ендобронхіальна гамартома. Лікування в цьому випадку має на увазі під собою вилучення освіти допомогою бронхотомии або резекції стінки органу.
Прогноз
Гамартома росте дуже повільно, але може досягати гігантських розмірів. Переродження її в злоякісне утворення зустрічається вкрай рідко. Згідно з наявними статистичними відомостями, можливість малігнізації становить не більше 7% всіх випадків. Малігнізація може проходити як в епітеліальному, так і в мезенхимном компоненті освіти з подальшим метастазуванням в лімфовузли, печінка і хребет людини.
Сподіваємося, що вся викладена в цій статті інформація виявиться для вас насправді корисною. Будьте здорові!





