У дітей вікової категорії від 7 до 15 років, що займаються спортом, можливо розвиток такої патології, як хвороба Шинца. Вона пов’язана з руйнуванням губчастої кістки п’яти і може призвести до кульгавості і болів у суглобах. Однак не варто впадати у відчай, адже це захворювання виліковне, якщо виконувати всі приписи, рекомендовані лікарями.
Загальна характеристика хвороби Шинца у дітей

В науковому словнику хвороба Шинца визначається як остеохондропатия п’яткової кістки. Справа в тому, що у кожної людини процес остаточного формування кісткового апарату завершується до повноліття, і якщо в цьому віці піддавати п’яткову кістку великим навантаженням, то можна домогтися розвитку хвороби Шинца. У дітей, що не займаються спортом, це захворювання, як правило, не виникає, оскільки у них немає постійних навантажень на ноги.
Хвороба Шинца розвивається із-за неправильної циркуляції кровопостачання в області п’яти. Кров просто не встигає нормально рухатися з-за постійних перепадів і стрибків. В результаті відбувається некроз губчастої тканини і неправильне формування окостеніння.
Як проявляється хвороба Шинца у дітей?
Спеціалістами це захворювання всебічно вивчено і досліджено, тому вони без особливих складностей можуть поставити діагноз пацієнту. Найчастіше хвороба Шинца розвивається у хлопчиків і 20% дівчат, які займаються спортивними іграми. Найчастіше уражається тільки одна п’ята, але в рідкісних випадках можуть піддатися хвороби і дві ноги одночасно.
Симптоми хвороби Шинца у дітей:
- хворобливі відчуття в області п’яти з поступовим зростанням і посиленням кульгавості;
- ниючий біль посилюється після занять спортом і тривалої ходьби;
- поява на задній стороні п’яти припухлості, що супроводжується ниючим болем, особливо в момент дотику і натискання на неї;
- спроби дитини ходити на носочках з-за неможливості спиратися на п’яту;
- зменшення рухової здібності стопи.

Припухлість вище п’яти з’являється при запущеній формі захворювання, але при цьому не супроводжується температурою і почервонінням. Процес розвитку хвороби Шинца у дітей проходить по-різному: іноді протягом місяця, а в окремих випадках може тривати протягом двох років.
Постійна напруга сухожиль приводить до тиску на м’язову тканину і, як наслідок, до появи припухлості. Тимчасове зменшення навантаження на ноги не дає позитивного результату, так як для остаточного одужання необхідно пройти повний курс лікування.
Головні причини появи і розвитку хвороби Шинца у дітей
Лікарі виділяють кілька явних причин, які можуть вплинути на розвиток хвороби Шинца у дітей. До них відносяться:
- недорозвиненість кровоносних судин;
- слабка м’язова тканина;
- нестача кальцію в організмі, що призводить до руйнування кісткового хряща;
- генетична схильність;
- порушення ендокринної системи;
- травми п’ят або гомілки в дитячому віці.
Необхідно уважно стежити за дитиною і при перших же симптомах хвороби звертатися до лікаря, так як несвоєчасне лікування може погіршити наступний результат одужання. Не виключено, що процес лікування при запущеній формі хвороби розтягнеться на довгі роки і не дасть кінцевого позитивного результату.
Читайте також:
- Чим лікувати діатез у дитини?
- Ознаки запалення легенів у дітей
Діагностування хвороби Шинца у дітей та його лікування

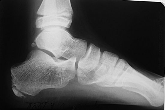
Розвиток хвороби Шинца можна визначити по скаргах дитини і під час зовнішнього огляду. Лікар-ортопед проводить діагностику, спираючись на результат рентгенівського знімка, щоб зрозуміти складність захворювання і призначити правильне лікування. В хірургії зустрічаються захворювання, які схожі на недугу Шинца, тому потрібно бути гранично обережними при постановці діагнозу. Подібна симптоматика спостерігається у таких хвороб, як:
- періостит;
- бурсит;
- п’ятковий туберкульоз;
- остеомієліт.
Лікування хвороби Шинца у дітей
Курс лікування призначається виходячи з таких критеріїв:
- занедбаності хвороби;
- ступені руйнування п’яткової кістки;
- наявності або відсутності припухлості;
- рівня хворобливих відчуттів.
При хворобі Шинца у дітей, як правило, консервативне лікування і, насамперед, включає обмеження пересування пацієнта. Зменшення навантаження на п’яти проводиться за рахунок тугої пов’язки з еластичного бинта або гіпсу. Якщо розвиток патології супроводжується болями, то призначаються фізіотерапевтичні процедури і застосування знеболюючих ліків. Як фізіотерапії проводять:

- електрофорез;
- діатермію;
- ультразвук з гідрокортизоном.
Європейські фахівці радять проводити терапію з ванн з розслаблюючими маслами і травами, а також застосовувати озокеритові аплікації.
Основні правила реабілітаційного періоду:

- після повного одужання лікарі рекомендують уникати великих навантажень на ноги;
- взуття слід носити тільки зі спеціальними ортопедичними устілками без каблуків;
- для кожного пацієнта устілка повинна підбиратися індивідуально за спеціальним замовленням;
- дитина з хворобою Шинца в обов’язковому порядку звільняється від фізкультури і тренувань;
- навантаження на стопу повинні бути мінімальними;
- для фіксації п’яти в правильному положенні краще носити взуття з високим задником і на шнурках.
Можна здійснювати лікування хвороби Шинца у дітей в домашніх умовах?

Фахівцями не виявлено народних методів лікування хвороби Шинца, тому необхідно суворо дотримуватися приписів лікарів і не займатися самолікуванням. В домашніх умовах можна тільки накладати компреси для зменшення хворобливих відчуттів і приймати зігріваючі ванни.
У разі сильного болю рекомендується змащувати п’яти такими протизапальними мазями:
- Фастум гель;
- Диклак;
- Троксевазин.
Для зняття набряку можна застосовувати ванночки з морської солі, а також робити аплікації з лікувальних грязей.
Практично в більшості випадків хвороба Шинца у дітей проходить без ускладнень, але іноді доводиться проводити операцію по відсіканню нервового поперечного стовбура. Таке хірургічне втручання не завжди є виправданим, так як будь-який неправильний стрибок згодом може привести до серйозних ускладнень. Виконання батьками всіх рекомендацій лікуючого спеціаліста дозволить повернути здоров’я дитині.





